Sfaturi pentru a elimina tartrul dentar în mod natural

Sfaturi pentru a elimina tartrul dentar în mod natural

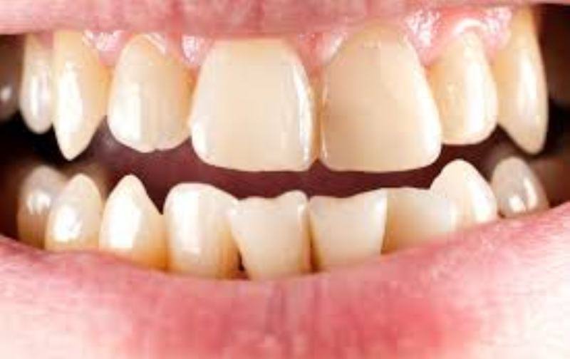
Tartarul este o placă de bacterii care se instalează pe suprafața dinților și se acumulează pe smalț. Este important să evitați întărirea tartrului pentru a evita bolile parodontale. În plus, aceste resturi vă vor face dintii urâti. Cu aceste sfaturi din partea bunicii, veți obține dinți frumoși, fără tartru.

Cauzele tartrului
O dietă prea bogată în zahăr, acizi și grăsimi rele va promova formarea tartrului. Deci, măncati mai multe fructe și legume! Igiena orală slabă nu este cauza principală a depunerilor de tartru, dar rămâne în mare măsură responsabilă. Spălați-vă pe dinți cum trebuie de trei ori pe zi! Cafeaua, ceaiul negru și tutunul ajută, de asemenea, la acumularea de bacterii și pete pe smalț.

De ce tartrul nu este bun pentru sănătatea noastră?
Pe lângă faptul că nu este estetic, tartrul poate duce la inflamația gingiei, adică gingivita care poate duce la dinți mobili! În plus, igiena dentară precară poate duce la probleme de respirație urata, pe lângă pierderea dinților.

Fructele și legumele crude sunt foarte recomandate, mai ales mere și alimente cu frunze verzi. Susanul este recomandat pentru conținutul său de calciu. Stevia este un aliment foarte benefic pentru dinții noștri, această plantă acționează ca un îndulcitor natural. Apa de mare este o modalitate excelentă de a vă ajuta să vă spălați și să vă consolidați smalțul, este un supliment remineralizant și alcalin. Argila albă îmbunătățește pH-ul gurii noastre.

Spălarea gurii
Spălarea gurii cu ulei de floarea soarelui sau susan ajută la curățarea dinților, curățarea toxinelor și curățarea gurii. Aceste spălături bucale sunt recomandate pentru probleme cu îngălbenirea dinților, infecții orale, plăci, probleme ale gingiilor sau dinți mobili. Uleiul de nucă de cocos este de asemenea excelent pentru albirea dinților și eliminarea bacteriilor orale. Cu toate acestea, gândește-te la țevi și scuipă-l în coșul de gunoi și nu în chiuvetă. Într-adevăr, se întărește și riscă să blocheze conductele!

Stirea anterioara

Cele mai bune fructe citrice pentru sezonul rece

Stirea Urmatoare

Condamnat la 13 ani de închisoare pentru tentativă la omor și conducerea unui vehicul sub influența alcoolui sau altor substanțe

Va rugam sa folositi un limbaj decent; mesajele postate vor fi validate de un Moderator inainte de a fi publicate pe site.

NOTA: Va rugam sa comentati la obiect, legat de continutul prezentat in material. Orice deviere in afara subiectului, folosirea de cuvinte obscene, atacuri la persoana autorului (autorilor) materialului, afisarea de anunturi publicitare, precum si jigniri, trivialitati, injurii aduse celorlalti cititori care au scris un comentariu se va sanctiona prin cenzurarea partiala a comentariului, stergerea integrala sau chiar interzicerea dreptului de a posta, prin blocarea IP-ului folosit.

Site-ul www.ziarebotosani.ro nu raspunde pentru opiniile postate in rubrica de comentarii, responsabilitatea formularii acestora revine integral autorului comentariului.